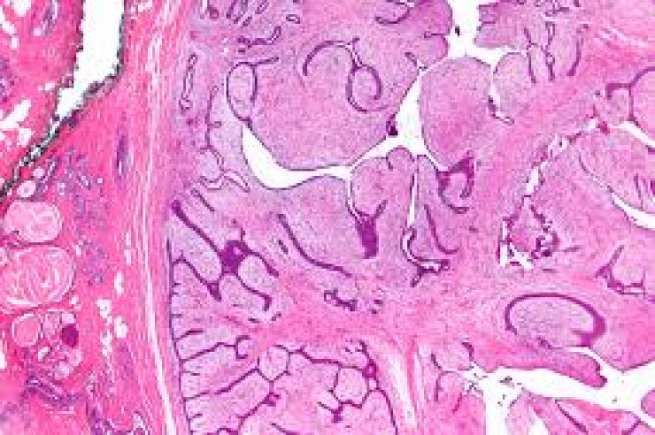
Ο Φυλλοειδης όγκος είναι ένας σπάνιος όγκος που μοιάζει πάρα πολύ με το συνηθισμένο ινοαδένωμα και έχει παρόμοια εικόνα τόσο στην κλινική εξέταση όσο και στον απεικονιστικό έλεγχο.Ούτε η μαστογραφία αλλά ούτε και ο υπέρηχος μαστών δεν μπορεί να ξεχωρίσει αν αυτό που απεικονίζεται είναι ένας φυλλοειδής όγκος ή ένα ινοαδένωμα. Αυτό πού κάνει τον φυλλοειδή όγκο να ξεχωρίζει από το ινοαδένωμα είναι το συνήθως μεγάλο μέγεθος του και η ταχύτητα με την οποία αυξάνεται.

Ο φυλλοειδής όγκος δεν έχει μία τυπική κλινική πορεία. Άλλοτε συμπεριφέρεται με καλοήθη χαρακτηριστικά και άλλοτε με κακοήθη συμπεριφορά με συχνές υποτροπές ακόμα και με δημιουργία μεταστάσεων.

Πιο συχνά εμφανίζονται σε ώριμες γυναίκες, συνήθως στην ηλικίες μεταξύ 40 – 50 ετών και σπανιότερα στην εφηβική ηλικία.

Η μαστογραφία και το υπερηχογράφημα δείχνουν συνήθως μία μεγάλη μάζα με ομαλά όρια.

Η αντιμετώπιση του όγκου είναι η χειρουργική ευρεία εκτομή του όγκου εξασφαλίζοντας την αφαίρεση αρκετού υγιούς ιστού.

Τόσο η χημειοθεραπεία όσο και η ακτινοθεραπεία, δεν έχουν θεραπευτικά αποτελέσματα.

Η πρόγνωση της νόσου είναι συνήθως καλή, αλλά θα πρέπει να τονιστεί ότι η διάγνωση της καλοήθειας δεν εξασφαλίζει τέτοια συμπεριφορά ( ακόμα και οι καλοήθεις μπορούν να δώσουν μεταστάσεις) , ενώ ο όρος κακοήθεια δεν είναι τόσο τρομακτικός στο βαθμό που το ποσοστό αυτών των όγκων που δίνουν μεταστάσεις είναι χαμηλό.

Άρα λοιπόν ο φυλλοειδής όγκος είναι ένας σπάνιος όγκος που προσομοιάζει απεικονιστικά απόλυτα με το ινοαδένωμα και πρέπει να αντιμετωπίζεται άμεσα και ριζικά με σκοπό να μειωθούν οι τοπικές υποτροπές που δεν είναι καθόλου σπάνιες σε αυτούς τους όγκους.


Αρθρογράφος: ΧΡΗΣΤΟΣ ΛΟΥΜΠΙΑΣ